Before and After – Crown for Worn out dentition
70 year old patient came in with teeth that were worn down from decades of grinding. He said that his smile is what made his wife fall in love with him, and he wanted his old smile back. Dr. Mehta was able to perform multiple crowns to bring back the height of his teeth and the brightness of his smile. Love is in the air again!

Before

After
Before and After – Cosmetics
An old filling was making this 50-year-old waitress very self-conscious of her smile. She was concerned about how important her smile is in the service industry. At Smiles of Northlake, we understand that teeth not only give you a smile but also confidence. Our patient walked out of our office with an improved smile and a whole lot of confidence.

Before

After
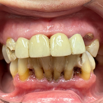
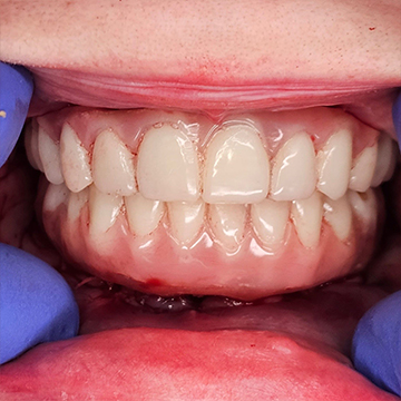
Before and After – Dentures
60 year old patient had been missing teeth for 10 years. He wanted his youthful appearance back and wanted to enjoy eating his meals. Dr. Mehta worked on a new set of dentures. Smile: check! Looks years younger: check! Fits like a glove! No more pain, no more adjusting, no more avoiding the foods that he loves.

Before

After
Before and After – Composite Bonding Restorations
35 year old gentleman wanted to uplift his smile. A handsome gentleman that needs some attention to his teeth. At Smiles of Northlake, we were able to fix the chipped teeth to enhance his smile.












